Во Владимире врачи спасли жизнь юному пациенту с опасным заболеванием

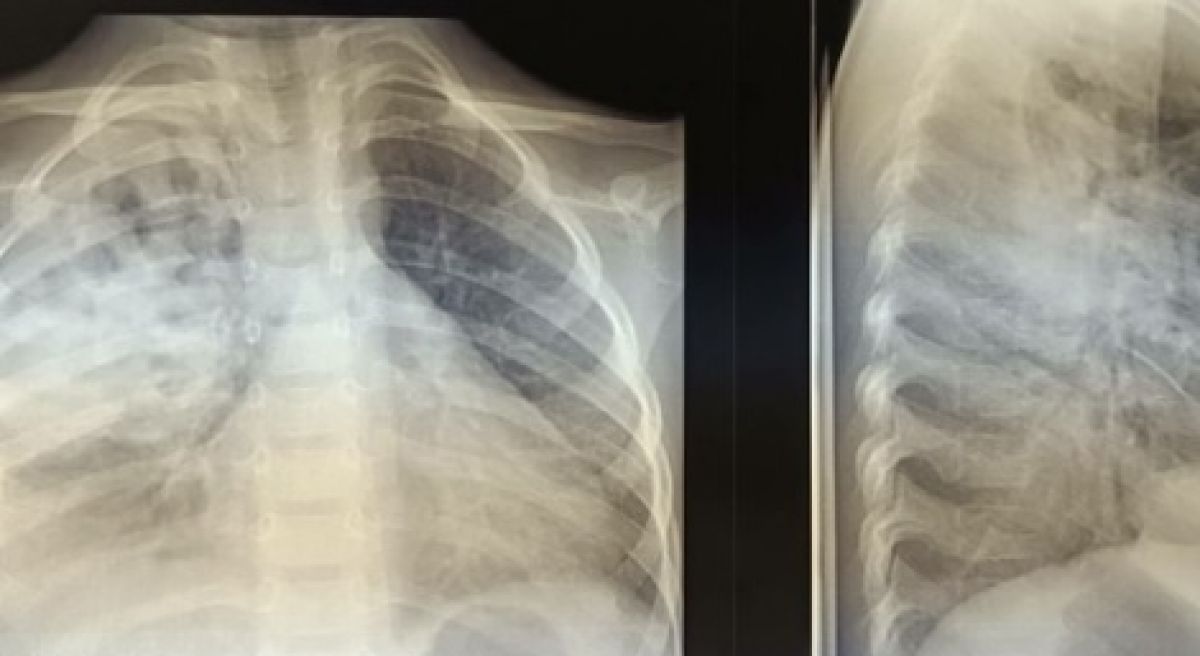
Владимирские врачи вылечили ребенка от тяжелой формы гнойной пневмонии Врачи-педиатры смогли поставить на ноги ребенка с тяжелой формы пневмонии со скоплением гноя и воздуха в плевральной полости,

Владимирские врачи вылечили ребенка от тяжелой формы гнойной пневмонии

Врачи-педиатры смогли поставить на ноги ребенка с тяжелой формы пневмонии со скоплением гноя и воздуха в плевральной полости, рассказали в областной детской клинической больнице.

По словам медиков, потребовалось проведение  дренирования плевральной полости. Затем юному пациенту назначили физиотерапию и подобрали терапию. В настоящее время малыш уже выписан домой.

Врачи также добавили, в раннем возрасте смертность от данного заболевания относительно высока. 

Напомним, ранее сообщалось , что во Владимирской области для спасения подростка понадобился вертолет.

Автор: Михаил Ломоносов

Автор: Областная детская клиническая больница города Владимира, источник фото .

Последние новости

Разбираем этапы ремонта сервоприводов: от диагностики до тестирования

Пошаговое руководство по восстановлению высокоточного оборудования с погружением в каждую деталь процесса

Первый заместитель прокурора Владимирской области Виктория Дмитренко и представитель аппарата Уполномоченного по защите прав предпринимателей в регионе Марина Кулакова провели совм

На прошедшей неделе первый заместитель прокурора Владимирской области Виктория Викторовна Дмитренко совместно с представителем аппарата Уполномоченного по защите прав предпринимателей в регионе Мариной Кулаковой провела

Муромская городская прокуратура принимает меры по ограничению доступа к сайтам, на которых реализуются снюсы

Муромской городской прокуратурой проведен мониторинг сети «Интернет» на предмет незаконной реализации снюсов (жевательного табака).

Коррекция фиброза и возрастных изменений: когда показан эндотканевой лифтинг

Как современная технология помогает вернуть коже упругость, убрать отёки и улучшить рельеф без хирургии

На этом сайте вы сможете узнать актуальные данные о погоде в Элисте, включая прогнозы на ближайшие дни и часы

Комментарии (0)

Добавить комментарий

Ваш email не публикуется. Обязательные поля отмечены *